Skip to main content

Or 34,00 After 66% tax deduction

I make a monthly donation I make an IFI donation
Support

Stars in the Sea, Commitment to Brain Tumour Research

Last update: 04/12/2025 Reading time: 1 min
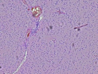
glioblastomes
Retour à la recherche

Stars in the Sea supports glioblastoma research: a commitment of €30,000 for the GLIOTEX project at Paris Brain Institute.

On December 16th, Paris Brain Institute was honoured to host the association Des Étoiles dans la Mer, which since 2019 has been fighting glioblastoma, an aggressive form of brain tumour. The day was marked by an exceptional gesture: the awarding of a cheque for €30,000 to the research project GLIOTEX, led by Maïté Verrault, Prof. Id Baih and their team at Paris Brain Institute.

An association committed to research and support for families

Created by volunteers, caregivers, patients and their families, Stars in the Sea works on several fronts:

  • Funding Medical Research
  • Helping and supporting families
  • Raising public awareness

Since its inception, the association has been able to unite a network of mutual aid and solidarity initiatives to advance the fight against glioblastoma.

The GLIOTEX Project: Hope for Brain Tumour Patients

The association’s support has focused on the GLIOTEX project, which opens up promising prospects in the treatment of brain tumours. This research project is based on the use of innovative experimental models based on tumour cells directly from patients.

The objective is twofold:

  • To test the efficacy of existing treatments and new molecules, accelerating translational research.
  • Reposition drugs already available, thus reducing the time and cost associated with the development of new therapies.

As part of a personalized medicine approach, GLIOTEX aims to develop therapies that are better adapted to the specific biology of each brain cancer. These targeted and innovative approaches give hope in the face of these devastating pathologies.

A collective push for research

The support of Stars in the Sea is a valuable mark of confidence for the research teams of Paris Brain Institute. With this support, Paris Brain Institute can continue its ambitious work and provide new opportunities for patients with glioblastoma.

 

Thanks to the association Les Étoiles dans la Mer for its commitment.

marquage multiplex de lymphocytes dans un échantillon de tumeur cerebrale

Brain tumours

A tumour is formed of cells that multiply in an uncontrolled way, taking over the surrounding cells and, to varying degrees, disrupting brain function. A brain tumour can develop in any area of the brain.

Read more

Our news on the subject

Interglitches 2025 Vignette
Interglitches 2025: Renewing Mobilization for Neuroscience Research
From 24 to 26 October 2025, Paris Brain Institute hosted the fifth edition of Interglitches, the charity speedrun marathon organised by the association Le French Restream.
11.17.2025 Support
1.	Mehdi Touat, François Henrot, Serge Weinberg, Natacha Polony, Gérard Saillant, Stéphanie Debette, Rebecca-Lamarche-Vadel, Oliver Beer
Art-Science Breakfast 2025: The Brain Challenge Campaign Unveiled
With the support of the Art Basel Paris Contemporary Art Fair, the 14th edition of the Art-Science Breakfast was held on 22 October 2025 at the Grand Café du Grand Palais (Paris).
10.28.2025 Support
Invincibles ensemble
Invincibles ensemble!: the growing success of a solidarity concert for ALS research
On Wednesday 15 October 2025, the mythical stage of the Olympia hosted the concert “Invincibles ensemble!” for its second edition. Twenty artists have mobilized to fight amyotrophic lateral sclerosis (ALS), also known as Charcot’s disease.
10.16.2025 Support
3ᵉ dîner annuel de Paris Brain Institute America à New York
3rd annual Paris Brain Institute America dinner in New York: renewing commitments to fighting brain diseases
On October 14, 2025, Paris Brain Institute America (PBIA) held its 3rd annual dinner in New York. PBIA, Paris Brain Institute’s sister organization, is chaired by Martine Assouline, joint president of the Paris Brain Institute Friends Committee. This...
10.24.2025 Support
La Généreuse
"La Généreuse" a solidarity regatta for ALS research
The association La Généreuse, founded by Laurent de Bernède, has the mission of raising funds to support charitable causes by organising sporting and cultural events. In 2025, she wanted to join Olivier Goy’s fight for ALS research at Paris Brain...
09.22.2025 Support
Troubles du Développement Intellectuel
The "RNU-Splice" project receives support from the health sponsorship of AXA Mutuals
Intellectual development disorders (IDD) affect 2 to 3 per cent of the population and are characterized by impaired cognitive functions, impacting learning. TDI thus has an impact on coping skills with implications for daily life and is a major...
10.08.2025 Support
See all our news